Cosmetic Dentistry
A smile is often the first thing you will notice about somebody when you first meet, and it can say so much about a person's confidence and self-esteem. There may be things that you don’t like about your own smile, and these may include:
- Teeth that are discoloured or stained
- Teeth that are uneven or crowded
- Gaps and spaces between teeth
- Old and stained crowns and fillings
- Teeth that are chipped or worn down
For whatever reason you are unhappy with your smile, you can be sure that we have a solution available to you. At Bath Street Dental Practice, our team have extensive experience and training to deal with the common issues that affect your smile.
Following a thorough examination, we can offer treatment to improve and enhance your smile including:
- Tooth whitening
- Tooth straightening
- Composite bonding
- Crowns, bridges and veneers
- Replacing old fillings
- Restoring spaces
Success stories
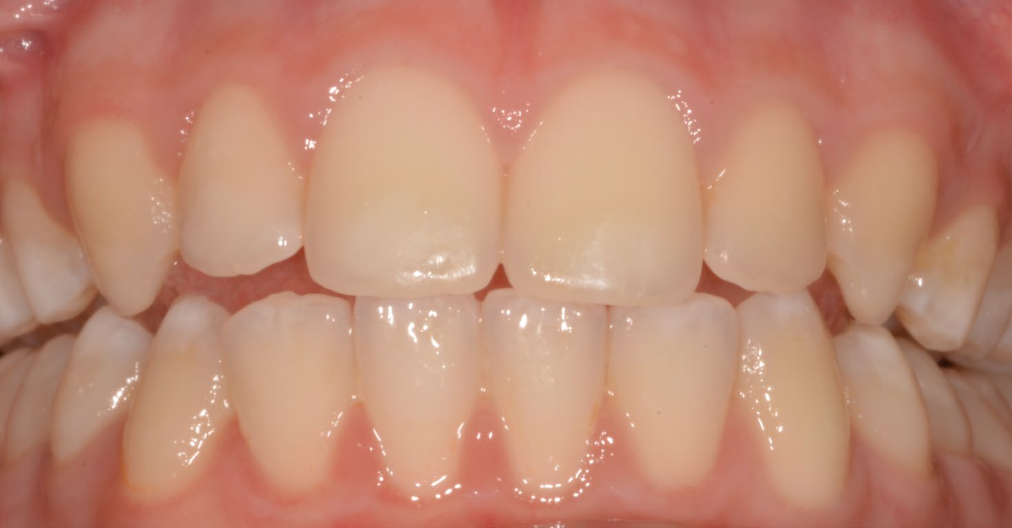
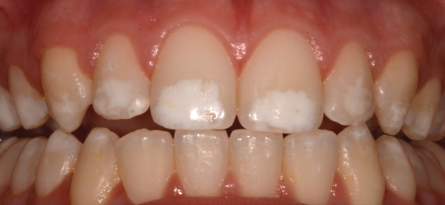
This young lady had just finished a course of orthodontic treatment and was very conscious of the white patches visible on her front teeth. These marks had been present since the teeth came through as a child, and although fairly common, this was quite a severe case. It was affecting her confidence and she would often hide her teeth when she talked and smiled. She wanted a treatment that would successfully hide the patches, but also avoid any drilling of healthy enamel. We were able to treat this using a treatment called ICON resin infiltration. It is a wonderfully simple treatment, but also very minimally invasive and ensures the tooth remains strong and healthy. Our patient was delighted with the result and so were we.
Composite bonding and white fillings
Composite resin is a tooth-coloured material that can be used in many ways. It can be used to:
- Replace old stained or metal fillings to give a natural appearance
- Restore chipped or uneven edges of front teeth
- Close spaces between teeth to give an even appearance
Composite bonding is often used alongside a tooth whitening treatment and can offer a fast, comfortable and minimally-invasive way to improve the appearance of your smile.
